2025-11-25
むし歯の放置は絶対にダメ!「痛くないから平気」が招く恐ろしい末路とは?
痛くないむし歯を放置し続けるとどうなるのでしょうか。本記事では、むし歯を放置し続けた場合の進行段階ごとの症状、治療費、歯を失うリスク、全身の健康を脅かすリスクまで解説します。
「歯に黒い点があるけど、まだ痛みはないから大丈夫かな?」
「歯医者は怖いし、忙しくてなかなか行けない」
「むし歯って、放置したら結局どうなるの?」
このような疑問や不安はありませんか?
むし歯は、ごく初期の段階(C0)を除き、一度穴があいてしまうと自然に治ることはありません。痛みが出た時には、すでに進行しているケースがほとんどです。
そこで本記事では、むし歯を放置し続けるとどうなってしまうのか、進行段階ごとの症状から、治療費、歯を失うリスク、全身への影響まで解説します。
むし歯は放置しても100%自然に治りません

一度穴があいてしまったむし歯は、どれだけ時間が経っても自然に治ることはありません。
私たちの口の中では、食事で酸性に傾いた歯の表面を唾液が中和し、溶け出したミネラルを補修する「再石灰化」という働きが常に起こっています。しかし、この修復機能が働くのは、歯の表面がわずかに白く濁る程度の「ごく初期のむし歯(C0)」に限られます。
黒い点や穴ができてしまった段階では、残念ながら再石灰化による回復は期待できません。
放置されたむし歯の進行

では、治療せずに放置されたむし歯は、どのような経過をたどるのでしょうか。進行段階を追って見ていきましょう。
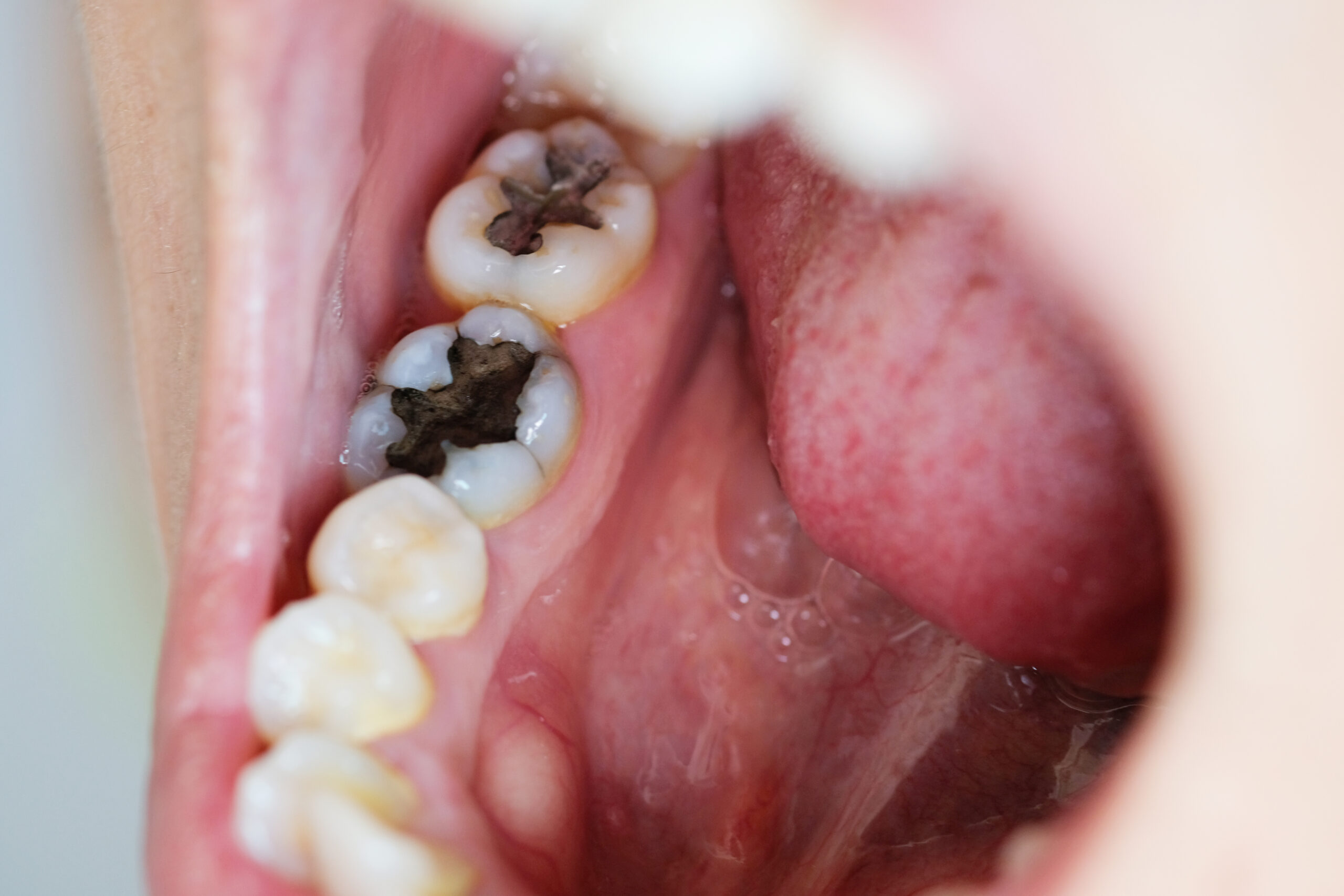
C1:エナメル質のむし歯
歯の一番外側にある硬い組織「エナメル質」の表面が溶け始めた、比較的初期の段階です。鏡で見たときに、歯の表面が白く濁っていたり、溝が黒や茶色っぽくなっていたりして気づくことがあります。この時点では痛みなどの自覚症状はほとんどありません。
C2:象牙質に達したむし歯
歯の一番外側にある硬い組織「エナメル質」が溶かされ、小さな穴があいた状態です。
冷たい飲み物やアイスクリーム、チョコレートなどの甘いものがキーンとしみるのが、この段階のサイン。とはいえ、痛みは一瞬で消えるため、「気のせいかな?」とやり過ごしてしまいがちです。
この段階で歯科医院を受診すれば、悪い部分を少しだけ削り、レジンという白い樹脂を詰める処置で終わることがほとんど。多くの場合、1〜2回の通院で完了し、費用も保険適用で数千円程度で済みます。
C3:神経に達して激しい痛みを伴うむし歯
何もしなくてもズキズキと脈打つように痛むなら、むし歯は歯の神経(歯髄)にまで達している可能性が高いでしょう。
激しい痛みの正体は、むし歯菌が神経に感染して引き起こす「歯髄炎」という炎症です。神経が直接攻撃されるため、夜も眠れないほどの痛みに襲われたり、痛み止めが手放せなくなったりします。
ここまで進行すると、治療は残念ながら簡単にはいきません。炎症を起こした神経をすべて取り除く「根管治療」という処置が必要になります。当然、治療回数はかかり、費用もかさみます。
C4:歯の根だけが残る崩壊段階
あれほどひどかった痛みが、ある日フッと消えることがあります。「治った!」と安心してしまうかもしれませんが、実は死んでしまった状態です。痛みを感じる機能そのものが失われただけで、歯の内部では細菌がさらに増殖を続けています。
歯の根の先では膿の袋が作られ、ある日突然、顔がパンパンに腫れ上がったり、高熱が出たりすることもあります。また、自分では気づきにくい強烈な口臭を常に放つようにもなるでしょう。
神経が死んでしまった歯は、栄養が供給されることのない「枯れ木」と同じです。もろくなり、食事で欠けたり、割れたりして、やがてボロボロに崩壊していきます。この段階では抜歯になることが多いです。
「歯だけの問題じゃない」菌が全身に広がる
放置されたむし歯は口の中だけの問題では済まなくなります。歯の根の先に溜まった細菌や毒素が、歯ぐきの血管に侵入し、血流に乗って全身へと運ばれてしまうことにあります。
心臓に菌が到達して心内膜炎を起こしたり、脳の血管を詰まらせて脳梗塞を引き起こしたり、血液全体が細菌に感染する敗血症という命に関わる状態に陥る危険性があります。
「痛くないから大丈夫」が一番危険!むし歯を放置する5つのリスク

ここではむし歯を放置するリスクについて、改めて整理して解説します。
リスク①:治療費が数十万円に!放置するほど高くなる費用
むし歯の放置は、治療費を雪だるま式に増やしてしまいます。なぜなら、進行すればするほど治療は複雑になり、高度な技術や高価な材料が必要になるからです。
治療段階ごとの費用と期間の目安を比べてみましょう。
【初期】
・主な治療法:レジン充填(白い詰め物)
・費用の目安(保険適用3割負担):約2,000円~4,000円
【神経に到達】
・主な治療法:根管治療+土台+被せ物
・費用の目安(保険適用3割負担):約7,000円~25,000円
【抜歯後】
・主な治療法: ブリッジ・入れ歯・インプラント
・費用の目安(保険適用3割負担):約10,000円~400,000円以上※インプラントは保険適用外です。
放置すればするほど、金銭的な負担は何十倍にも膨れ上がります。
リスク②:大切な歯を失う
放置の末路として悲しいのは、自分自身の歯を失ってしまうことです。歯は一度失うと、二度と元には戻りません。
抜歯後には、失った機能を補うための治療が必要になりますが、どの選択肢にもデメリットが伴います。
- ブリッジ:両隣の健康な歯を大きく削る必要があります。
- 入れ歯:毎日の取り外しや手入れが煩わしく、違和感を覚える人もいます。
- インプラント:天然の歯に近い感覚を取り戻せますが、保険適用外で高額な費用と外科手術が必要です。
どんなに優れた治療法も、生まれ持った天然の歯には敵いません。
リスク③:神経が死に歯が黒ずむ
神経を失った歯は、血液や栄養が供給されなくなるため、時間とともに黒っぽく変色していきます。
前歯の場合、どうしても目立ってしまい、人前で話したり、思いきり笑ったりすることにためらいを感じるようになるかもしれません。
リスク④:自分では気づきにくい強烈な口臭が発生する
むし歯が進行してできた穴には、食べカスが詰まりやすく、細菌が繁殖する絶好の温床となります。また、死んで腐敗した神経や根の先に溜まった膿は、強烈な悪臭を放ちます。
リスク⑤:全身の健康を脅かす危険性がある
特に、糖尿病や心臓疾患、腎臓病などの持病をお持ちの方は注意が必要です。
たとえば、歯周病菌は、血糖値をコントロールするインスリンの働きを阻害するため、糖尿病を悪化させることが分かっています。また、血管内に入り込んだ細菌が動脈硬化を促進させ、心筋梗塞や脳梗塞のリスクを高めることもあります。
わかっているけど行けない…歯医者が苦手な方のよくある質問

どうしても歯医者に行く勇気が出ないと感じている方もいらっしゃるでしょう。その不安を少しでもやわらげるために、よくいただくご質問にお答えします。
Q1. 治療の「キーン」という音や痛みがとにかく怖いのですが…
近年の歯科医院では、音や痛みに配慮しているところが多いです。
たとえば、麻酔注射のチクッとする痛みを和らげるために、歯ぐきにあらかじめ塗るゼリー状の「表面麻酔」。コンピューター制御によって痛みの少ない速度で麻酔液を注入する「電動麻酔器」。これらは、多くの歯科医院で導入されています。
また。治療中の「キーン」という音が苦手な方には、ヘッドホンで好きな音楽を聴きながら治療を受けられる医院もあります。
大切なのは、あなたの不安を正直に伝えること。「痛みが本当に苦手なんです」と最初に一言伝えるだけで、どんな歯科医師も必ず最大限の配慮をしてくれます。
Q2. 歯がボロボロで怒られたりしないか不安です…
歯科医師があなたの歯の状態を見て怒ったり、呆れたりすることは絶対にありません。
なぜなら、彼らは日々さまざまな症状の患者さんを診ている治療のプロフェッショナルだからです。
歯科医師の使命は、患者さんを責めることではなく、その苦痛を取り除き、健康を取り戻す手助けをすること。安心して受診してください。
Q3. こんな状態の口の中を見せるのが恥ずかしいです…
お口の中の状態にコンプレックスを感じ、「人に見せるのが恥ずかしい」と思う気持ちは、決して特別なことではありません。あなたと同じように悩み、勇気を振り絞って来院される方は、たくさんいらっしゃいます。
歯科医師や歯科衛生士は、毎日何人ものお口の中を見るのが仕事です。ごく日常的な光景であり、あなたの歯の状態を特別視したり、笑ったりすることはあり得ません。
プライバシーに配慮し、診療台ごとに仕切りがあったり、完全個室だったりする歯科医院も増えています。まずは、リラックスして相談できそうな医院を探してみることから始めてはいかがでしょうか。
まとめ
むし歯は「痛くないから平気」と放置してしまうのが一番危険です。一度穴があいたむし歯は自然には治らず、C1からC2、C3、C4へと進行し、やがて神経が死んでしまいます。
進行すると、治療費が数千円から数十万円に跳ね上がるだけでなく、激しい痛みを伴う神経の治療が必要になったり、最終的には歯を失ったりする可能性が高まります。
「歯医者が怖い」「こんな歯を見せるのが恥ずかしい」と感じるかもしれませんが、近年の歯科医院は痛みや音に配慮しています。
後悔しないためにも、まずは相談することから始め、今感じている不安を正直に伝えましょう。













