審美治療について
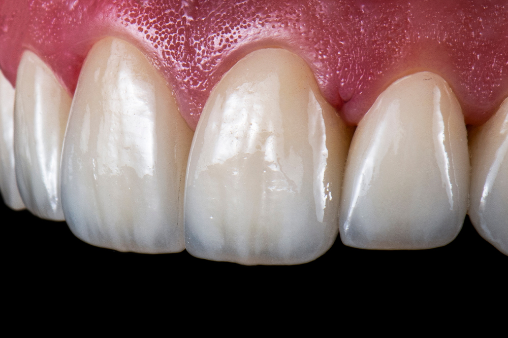
見た目の美しさだけでなく、噛み合わせやお口全体のバランスも考慮しながら行うのが審美治療です。噛む力の強さや歯並びの状態は人それぞれ異なるため、当院では患者さま一人ひとりに合った方法をご提案します。
自然で違和感のない仕上がりと、しっかり適合する被せ物や詰め物を心がけ、患者さまの気持ちやご希望に寄り添いながら進めていきます。
歯を見せて笑える喜びや、自信につながる審美治療を目指しています。
このようなお悩みはありませんか?
- 前歯の形や色を整えたい
- 銀歯が目立つのが気になる
- 古い詰め物が黒くなってきた
- 噛み合わせと見た目の両方を改善したい
- 将来も長くきれいな歯を保ちたい
審美治療のこだわり
自然で美しい口元を目指す、当院の審美治療のこだわりをご紹介します。
快適に受けられる
環境づくり
治療前にエアフロー(専用の機械で歯の汚れや着色を吹き飛ばすクリーニング)で歯の汚れや着色を落とし、清潔な状態で処置します。
また、必要に応じて麻酔も使用し、痛みや不安をできるだけ抑えます。
マイクロスコープと
デジタルスキャナーで叶える
精密な審美治療
マイクロスコープと高精度デジタルスキャナーを使い、歯ぐきの境目や噛み合わせを正確に把握します。
その結果、自然で快適、長持ちする被せ物や詰め物を作ることができます。
歯科技工士との連携で実現する
理想の仕上がり
グループ内の技工所と密に連携し、必要に応じて歯科技工士が立ち会います。
見た目の美しさはもちろん、噛み心地や長期的な安定性にもこだわった審美治療をご提供します。
審美治療の内容
当院の審美治療では、見た目の美しさと快適さを大切にしながら、次のような治療を行っています。
-
ダイレクトボンディング治療
歯をできるだけ削らずに、欠けやすき間、変色を自然な見た目に整える審美治療です。歯科用プラスチック(レジン)を直接歯に盛り付けて形を整えるため、短時間で仕上がります。
健康な歯を多く残せるので、歯にやさしく、見た目も自然に仕上げたい方におすすめの審美治療法です。 -
ラミネートべニア治療
前歯の色や形を整えて、自然で美しい笑顔にする審美治療です。薄いセラミックの板を歯の表面に貼り付けることで、変色やすきっ歯、形の乱れを目立たなくできます。
短期間で見た目を整えたい方や、笑ったときの印象を明るくしたい方に向いています。 -
補綴(ほてつ)治療
被せ物や詰め物、ブリッジなどを使って歯の形や噛み合わせを整える審美治療です。
老若男女問わず、見た目をきれいにしたい方や、歯と歯の間のすき間(ブラックトライアングル)を改善したい方にも適しています。 -
ガミースマイル治療
笑ったときに歯ぐきが目立つ「ガミースマイル」を改善する審美治療です。歯ぐきの形や位置を整え、自然でバランスの良い笑顔を目指します。
治療方法は、注射で表情筋の動きを調整するボツリヌス注射や、歯ぐきの骨を整える外科的治療など、患者さまの状態に合わせて最適な方法をご提案します。 -
ホワイトニング
歯の黄ばみやくすみが気になる方には、歯にやさしい薬剤「Tion」を使ったホワイトニングがおすすめです。自然な白さを引き出し、短時間で明るい笑顔を整えます。
短期間で見た目を整えたい方や、笑ったときの印象を明るくしたい方に向いています。
オフィスホワイトニング
歯科医院で行う方法で、専用のライトと高濃度薬剤を使用し短時間で歯を白くします。
上下の前歯(5番目まで)を対象に、1回約1時間半で施術。理想の白さには2回ほど行うのが一般的です。短期間で効果を実感したい方に向いています。
ホームホワイトニング
ご自宅で自分のペースで行うホワイトニングです。専用マウスピースに低濃度薬剤を入れ、1〜2時間装着することで徐々に白くします。毎日続けることで自然な白さが得られ、前歯から奥歯まで全ての歯に対応可能です。生活スタイルに合わせて無理なく続けたい方におすすめです。
デュアルホワイトニング
オフィスとホームを組み合わせた方法で、まず歯科医院でオフィスホワイトニングを行い、その後ご自宅で約2週間ホームホワイトニングを続けます。
短期間で白さを実感しつつ、長持ちさせたい方に最適です。
ウォーキングブリーチ
神経を取った歯の変色を、歯の内部から白くする方法です。歯の中に薬剤を入れて一定期間置き、色素を分解しながら自然な白さに整えます。通常のホワイトニングで白くなりにくい歯にも効果があり、歯を削らず自分の歯を活かしたい方に向いています。
審美治療の種類
当院の補綴治療では、次の素材を取り扱っています。
白く美しい歯を目指したい方
自然な見た目を重視する方には、金属を使わないメタルフリー治療がおすすめです。
オールセラミック
天然歯のような透明感を持つセラミック素材で、自然な仕上がりに。前歯など目立つ部分の審美治療にも適しています
e-max(イーマックス)
オールセラミックの一種で、強さと透明感のバランスに優れた素材です。自然な色合いで歯の形や輝きを再現でき、耐久性も高いため、長く美しい状態を保ちたい方におすすめです。
ジルコニア
セラミックとレジン(プラスチック)を組み合わせた素材です。オールセラミックほどの透明感はありませんが、自然な仕上がりで、コストを抑えたい方にもおすすめです。
ハイブリッドセラミック
天然歯のような透明感を持つセラミック素材で、自然な仕上がりに。前歯など目立つ部分の審美治療にも適しています
ファイバーコア
神経を取った歯に使用する白い土台です。金属より歯にやさしく、前歯の被せ物と合わせると自然な見た目を実現できます。
長持ちする耐久性を大切にしたい方
噛む力が強い方や奥歯など、負担のかかる部分には、丈夫で長持ちする素材がおすすめです。
ゴールド
適度な硬さで噛み合う歯にやさしい素材。丈夫で長持ちし、むし歯の再発を防ぐ効果もあるため、安心して使用できます。
メタルボンド
丈夫な金属のフレームにセラミックを重ねた素材で、奥歯の審美治療にも安心して使えます。自然な見た目と強さのバランスが良いのも特徴です。
負担の少ない価格で治療を受けたい方
費用をできるだけ抑えたい方には、保険適用の素材も対応可能です。見た目や強度には一定の制限がありますが、硬質レジン前装冠やCAD/CAM冠、金銀パラジウム合金などで、機能的にはしっかり噛めるように仕上がります。
審美治療のリスク
- 審美治療後に、一時的に歯がしみることがあります。
- 強い力が加わると、被せ物や詰め物が欠けたり割れたりすることがあります。
- 審美治療によっては、健康な歯を一部削る処置が必要になる場合があります。
- ホワイトニングの効果には個人差があります。
- ホワイトニングは時間の経過とともに色が戻る場合があります。
審美治療のよくある質問
-
審美治療後の注意点はありますか?
硬いものを強く噛まないこと、歯ぎしりや食いしばりがある場合はマウスピースの使用、月1回の定期メンテナンスをおすすめします。
また、ホワイトニング当日は色の濃い食事や飲み物を避けましょう。「厚誠クラブ」に入会すると、より高度なアフターフォローが受けられます。 -
審美治療の通院回数はどのくらいですか?
ダイレクトボンディングは1回で完了します。
型取りが必要な被せ物やラミネートべニアなどは、通常2〜4回の通院が目安です。 -
審美治療はどれくらい長持ちしますか?
セラミックの被せ物や詰め物は、目安として約10年持ちますが、日々のケア次第でさらに長持ちさせることができます。
ホワイトニングの効果は半年〜1年ほどで、白さを保つには定期的な再施術と日々のケアが大切です。 -
審美治療は分割払いや医療ローンを利用できますか?
はい、分割払いや医療ローンのご利用が可能です。
お支払いはクレジットカードや現金にも対応しています。
審美治療のご相談
当院では、精密で質の高い審美治療を心がけ、患者さま一人ひとりに合わせた最適なプランをご提案しています。
自然な見た目や噛み合わせまで考慮し、長く安心して使える仕上がりを目指します。
まずはお気軽にご相談ください。












